ホワイトニング症例報告
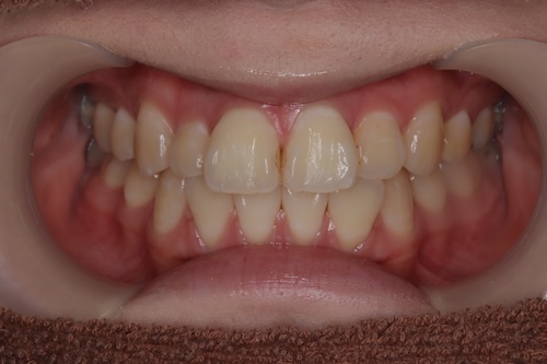
東京 ホワイトニングサロンボーテ神田の症例報告20代 肌が白く、より前歯が黄色く見えてしまうお客様。
オフィスホワイトニングとホームホワイトニングを行う事で透明感ある綺麗な歯になりました。
ご来院の日はいつもオシャレしてきてくれてとても可愛らしいお客様でした。
お洋服のセンスも抜群でいつもどこで購入したかのお話で盛り上がりました。
ホームホワイトニングは途中でしみるようになってきたので時間調節や歯のパックをおすすめし、3ヶ月間試行錯誤しながら頑張っていただけました。
結果、目標のお色味以上に綺麗になりとても喜んでいらっしゃいました。
施術内容
パーフェクト美白プラン(3ヶ月分)(税込168,300円)
・オフィスホワイトニング6回分
・クリーニング(スタンダードケア)1回分
・マウスピーストレー上下・付属品
・ホームジェル5日分x18本
・NBベリーホワイト1本
・NBトゥースペースト1本
シェードの変化

初診時シェード 右上1 A3 右下3 B4
目標030
初回)オフィスホワイトニング 右上1 A2 右下3 C2
下の歯一度でかなり色上がりよく効果を感じた。
3回目)オフィスホワイトニング 右上1 B1 右下3 B2
ホームホワイトニング毎日2時間行っている。濃度は10%
4回目)オフィスホワイトニング 右上1 04右下3 A1
ホームホワイトニング16%、毎日2時間行っている。しみるようになってきた。歯磨き粉はveryではなくトゥースペーストをホワイトニング前後に使っていただく。veryはホワイトニングしない日に。
5回目)オフィスホワイトニング 右上1 030 右下3 040
ホームホワイトニング16% 忙しくほとんどできなかった。トゥースペーストは変わらず使っている。パックもしている。
6回目)オフィスホワイトニング 右上1 020右下3 030
ホームホワイトニング16%、週6で行っている。お試しで22%1本お渡し。
7回目)オフィスホワイトニング 右上1 020右下3 030
ホームホワイトニング16% かなりしみるようになってきたので22%使えないかもしれない。未開封は冷暗所で1年半持つ事お伝え。タッチアップ時に使ってもらうように保管。ホワイトニング時間2時間から30分へと時間短めにしていただく。

8回目)オフィスホワイトニング 右上1 020 右下3 030
ホームホワイトニング16% しみていたのでお休みしていた。しみるのも改善された。トゥースペーストは引き続き使っていただき、ホームホワイトニングは時間を30分にしてもらう。
コメント
今後はメンテナンスでオフィスホワイトニングとクリーニングを行なっていく。またデンタルエステも興味があり、おすすめしたところ施術を受けていただく事になり引き続きサポートしていく。
ホワイトニングサロンボーテ神田〒101-0052 東京都千代田区神田小川町3丁目8番地 中北ビル2階
歯科医師 藏前尚子

