ホワイトニング症例報告
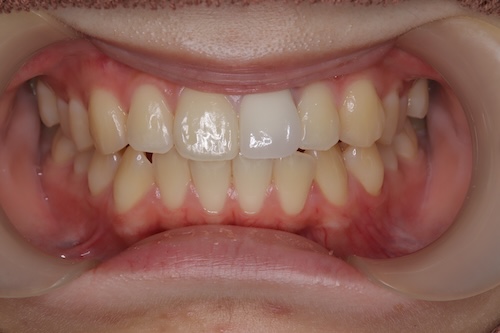
東京 ホワイトニングサロンボーテ神田の症例報告主訴左上1 もうすぐセラミックにするため、その色に合わせて白くしたい。セットは約2週間後。初診時は仮歯。
施術内容
パーフェクト美白プラン 税込168,300円
オフィスホワイトニング6回
クリーニング1回
マウスピーストレー上下・付属品
ホームジェル5日分×18本
NBベリーホワイト1本
NBトゥースペースト1本
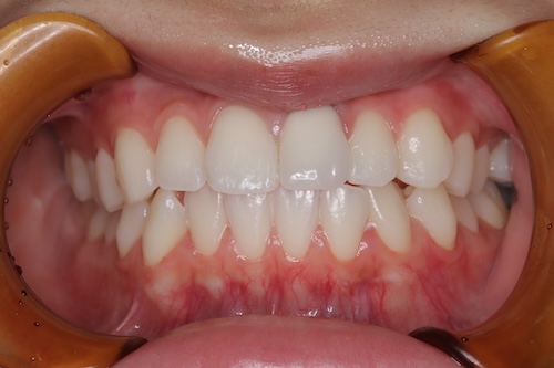
シェードの変化
2回目来店
メニューホワイトニング、型取り
セラミックセットされていた
右上1 C3からB4
右下3 A4からC3
3回目来店
メニュー クリーニング、トレーお渡し
HG10%
4回目来店
メニュー ホワイトニング
右上1 C1からD2
右下3 D4からC1
HG10%
週3回2Hくらいホームできた
一気にシェード上がってる。白さ実感。
5回目来店
メニュー ホワイトニング
右上1 B2からB1
右下3 C1からA2
HG10%
ホーム週1~2回にペースダウン
6回目来店
メニュー ホワイトニング
右上1 B1からBL4
右下3 D2からA1
HG16%
ホーム週3回。しみるときはトレーパックお伝え。
7回目来店
メニュー ホワイトニング
右上1 BL4
右下3 B2からA1
HG16%
8回目来店
メニュー ホワイトニング
右上1 BL4
右下3 B2からA1
HG16%、22%
9回目来店
メニュー ホワイトニング
右上1 BL4からBL3
右下3 A1からB1
HG22%
メンテへ
コメント
初めはホームホワイトニングで少し知覚過敏がありましたが、続けてると軽減されていき、週3回〜4回は続けて行っていただけました。
ご年齢も20代とお若いため、2.3週間に一回のオフィスホワイトニングと週3回程度のホームホワイトニングを3ヶ月続けていただくことで早く白くなられました。
今後は3ヶ月ごとのメンテナンスで白さをキープしていきます。
ホワイトニングサロンボーテ神田〒101-0052 東京都千代田区神田小川町3丁目8番地 中北ビル2階
歯科医師 藏前尚子



