ホワイトニング症例報告
東京 ホワイトニングサロンボーテ神田の症例報告30代女性
施術内容
パーフェクト美白プラン(3ヶ月分)(税込168,300)
・オフィスホワイトニング7回分
・クリーニング
(スタンダードケア)1回分
・マウスピーストレー上下・付属品
・ホームジェル5日分×18本
・NBベリーホワイト1本
・NBトゥースペースト1本
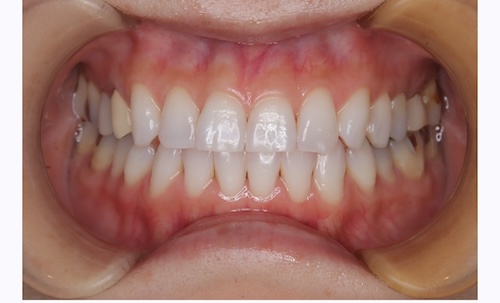
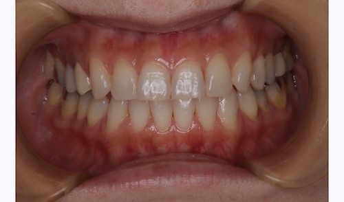
シェードの変化
初診時シェード 右上1 C1 右上3 D3
目標シェードは020
2回目のオフィスホワイトニングでは右上1 B1 右上3 D2
ホームホワイトニング16%毎日2時間を行っていた。
5回目のオフィスホワイトニングでは右上1 020 右上3 030
ホームホワイトニング22%毎日2時間継続
7回目のオフィスホワイトニングでは右上1 020 右上3 020,030の間
ホームホワイトニング35%毎日2時間継続
コメント
初回カウンセリング時、020まで白くしたいと願望強いかったのでホームホワイトニングをしっかり取り組んでいただけるように促しました。
お仕事が忙しいなかでも毎日2時間きっちりホームホワイトニングに取り組まれていました。
途中シェードの白さが分からないと本人おっしゃり、モチベーション維持が不安でしたが、確実に白くなっていることをお伝えしサポートしながら目標シェード達成することができました。
メンテナンスの必要性をお伝えしました。
ホワイトニングサロンボーテ神田〒101-0052 東京都千代田区神田小川町3丁目8番地 中北ビル2階
歯科医師 藏前尚子



