ホワイトニング症例報告
東京 ホワイトニングサロンボーテ神田の症例報告30代男性クリーニングは半年前に行っていないが美容の意識は高めの方
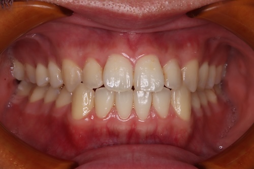
口腔内の状態は良い
施術内容
パーフェクト美白プラン(3ヶ月)
(税込160600円 ーホワイトニング半額分)
オフィスホワイトニング6回
クリーニング(スタンダードケア)1回
マウスピース上下・付属品
ホームジェル5日分×18本
NBベリーホワイト×1
NBトゥースペースト×1
シェードの変化
初診時シェード右下ま3A3.5 右上1C1
目標BL3
オフィスホワイトニング2回目
ホームホワイトニングは10%週4回
来院時かなり上がった様子
シェード右下3番D3→D4
右上1A1→BL4
オフィスホワイトニング3回目
ホームホワイトニングは16%週4回
シェード右下3C1→A2
右上BL4→BL4キープ
オフィスホワイトニング6回目
2週間ホームホワイトニングはお休み
(22%お渡し)
シェードはキープ
右下3A1→BL4
右上1BL4→BL3
コメント
初診時ホームホワイトニングはめんどくさいと、言われていたが次に来院された時は週4でやられているとすごく真面目な方
10%→16%→22%まで知覚過敏なし
うっかりオーバーナイトしてしまった時は知覚過敏でました
NBペースト後パックは軽減
6回目には目標シェードまで到達
下顎はBL4ですが、ご本人満足されておりました
次回ご来院お待ちしております
ホワイトニングサロンボーテ神田〒101-0052 東京都千代田区神田小川町3丁目8番地 中北ビル2階
歯科医師 藏前尚子



