ホワイトニング症例報告
東京 ホワイトニングサロンボーテ神田の症例報告20代後半女性 京都から引っ越してきたばかり。
審美的に歯列気にされ成人矯正開始。
咬合の改善から体調もよく、口腔内トラブルも減ったとの事で関連性をお話し。
ホワイトニングにて美を追求しつつ、健康観も高めて行きたいお気持ちが生まれた様子。自費と保険のクリーニングの違いもお話しし、クリーニング意欲も高まる。リテーナー使用中との事で、ホームホワイトニングはそちらを使用する事となった。
ホワイトニング施術内容
パーフェクト美白プラン(3ヶ月)(税込168,300)
・オフィスホワイトニング6回分
・クリーニング(スタンダードケア1回分)
・マウスピーストレー上下・付属品
・ホームジェル5日分×18本
・NBベリーホワイト1本
・NBトゥースペースト1本
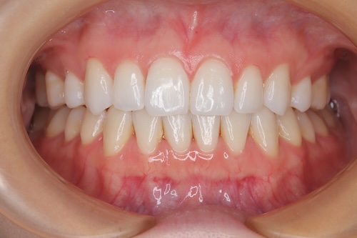
ホワイトニング後のシェードの変化
初回時のシェード
右下3番→A4
右上1番→A3
10%毎日オーバナイト
3回目のオフィスホワイトニング
右下3番→B1
右上1番→A1
10〜16%毎日1.5〜2h
最終シェード
右下3番→030
右上1番→030
22%毎日1h
歯科医師からのコメント
仕事付き合いの会食が夜遅くまでになる日が多く、ホームホワイトニングは夜間での使用を強くご希望。
8時間睡眠にて装着、下の前歯6本はややしみる症状あり、ジェルの量を確認。
量は問題なく歯が一部欠けている事が原因であったが、我慢できるとの事で、休まずホームホワイトニングの継続をご希望。
しみ止めとしてホームホワイトニング後にトゥースペーストにてパックする事をおすすめ。
すると、歯に染みることがほぼほぼ無くなり、毎回パック実施は習慣化へ。
3回目オフィスホワイトニング時、ホームホワイトニング濃度の相談の際に、ご自身より上の歯のみ16%、しみやすい下の歯は10%でシェードアップのご提案いただき、上下色むら承諾の上遂行。
毎回のトゥースペーストの使用により歯質強化され、全くしみなくなるまでに。しみへの恐れが無くなり4回目のオフィスで全ての歯に対し16%、5回目オフィスでは22%までホームホワイトニングの濃度を積極的にアップ。
色上がり、仕上がり大満足で終了した。
ホワイトニングサロンボーテ神田〒101-0052 東京都千代田区神田小川町3丁目8番地 中北ビル2階
歯科医師 藏前尚子



