ホワイトニング症例報告
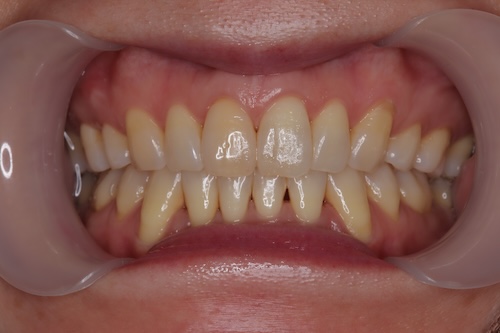
東京 ホワイトニングサロンボーテ神田の症例報告50代女性 クリーニングでアポイントでしたが、年齢的にホワイトニングはできないと思われていたので、しっかりとカウンセリングをして3ヶ月コースになったお客様。
ホワイトニング施術内容
パーフェクト美白プラン(3ヶ月分) (税込168300)
⚫︎オフィスホワイトニング6回分
⚫︎クリーニングスタンダードケア1回分
⚫︎マウスピース、トレイ、上下、付属品
⚫︎ホームジェル5日分× 18本
⚫︎ NBベリーホワイト1本
⚫︎ NBトゥースペースト1本
ホワイトニング後のシェードの変化
初診時、シェイド 右上1番A 4 左下3番C3
目標シェイド BL 030
4回目の来院時
ホームホワイトニングは週に3から4回のペースで1時間、痛みがなく10% 16% 22%まで上げられ、
シェイドも右上1番1 左下3番B2
までしっかりと上がっていた状態で、オフィスホワイトニング。
終了時右上1番040 左下3番B 1
までトーンがアップ。引き続き22%のホームジェルを使用し、約1時間ほど継続。
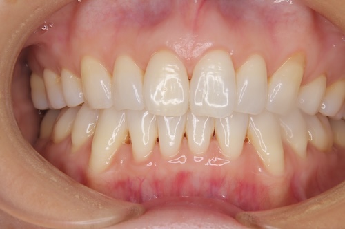
コース、最終の6回目の来院時
ホームホワイトニングは週に3から4のペースで1時間22%を継続。最終のオフィスホワイトニングをした。
最終のシェイドは、右上1番BL 040 左下3番A 1
で全体的に色味が整い一旦コースは終了。
歯科医師からのコメント
初診カウンセリング時、クリーニングのみでお越しいただいたが、年齢的にホワイトニングは無理だと思われていたようで、しっかりと色目が上がると言うことをお伝えし、3ヶ月コースをスタートしていただいた。
半ば色味が停滞した時期があったが、ホームホワイトニングも短い時間だが、回数をしていただき、何とか目標のシェードまで上がった。
その後はメンテナンスとして、約3ヶ月に1度クリーニングとホワイトニングを同時施術にお越しくださっている。
コース終了後の家でのメンテナンスとして、Goスマイルをご使用していただいて、色味もキープできている。
ホワイトニングサロンボーテ神田〒101-0052 東京都千代田区神田小川町3丁目8番地 中北ビル2階
歯科医師 藏前尚子



