ホワイトニング症例報告
東京 ホワイトニングサロンボーテ神田の症例報告20代女性 短期集中で白くなりたいと希望されボーテにいらっしゃった美意識が高いお客様。
施術内容
パーフェクト美白プラン(3ヶ月分)(税込168,300円)
・オフィスホワイトニング6回分
・クリーニング(スタンダードケア)一回分
・マウスピーストレー上下・付属品
・ホームジェル5日分×18本
・NBベリーホワイト1本
NBトゥースペースト1本
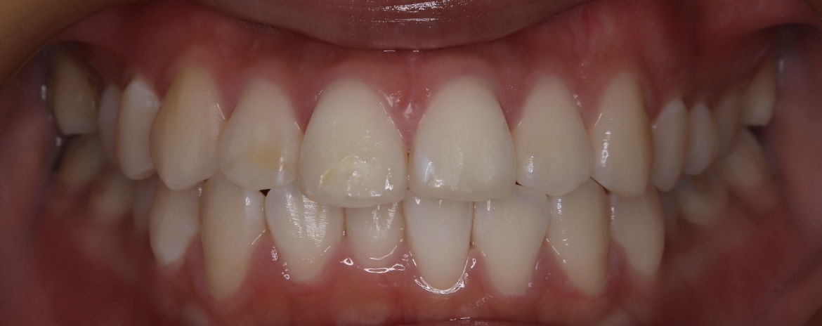
シェードの変化
初診時シェード右上1 C1 右上3B3
目標030
4回目のオフィスホワイトニングでは、右上1B1 右上3 B1
ホームホワイトニング16% 週に3〜4回 1時間を行なっていた。
6回目のオフィスホワイトニング時には、右上1
030 右上3 030
ホームホワイトニング22%週に1〜2回行なっていた。
コメント
初回カウンセリング時、短期集中で白くなりたいと希望されボーテにいらっしゃった。
初めは順調にホームホワイトニングの頻度を多くして続けられていたが、途中でインフルエンザにかかってしまい、なかなかできない期間があった。
それ以降、少しモチベーションが下がってしまいホームホワイトニングの頻度が減ってしまった。
一度、オーバーナイトをおすすめし、再度やる気出してトライ。
最終的には、目標シェードに到達することができた。
今後は、メンテナンスの必要性をお伝えしていく。
〒101-0052 東京都千代田区神田小川町3丁目8番地 中北ビル2階
歯科医師 藏前尚子



