ホワイトニング症例報告
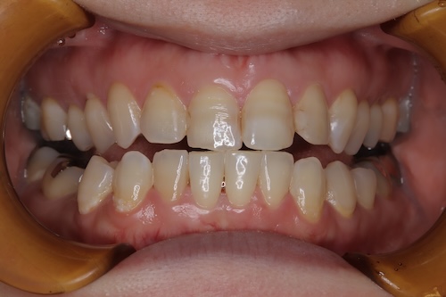
東京 ホワイトニングサロンボーテ神田の症例報告マスク外す機会多くなり歯の色が気になってきた30代女性。
上の前歯の縞模様な感じが一番気になり上前歯を今より白くし、白くなった後のキープもしたいお客様の症例。
施術内容
プラチナ美白プラン(年間)235400円
オフィスホワイトニング9回+ホワイトニング1回プレゼント
クリーニング4回
マウスピース上下、付属品
ホームジェル5日分×18本
NBトゥースペースト1本
NBベリーホワイト1本
追加分として
洗浄剤1箱
NBトゥースペースト1本
NBベリーホワイト1本
ホワイトニングテープ1箱
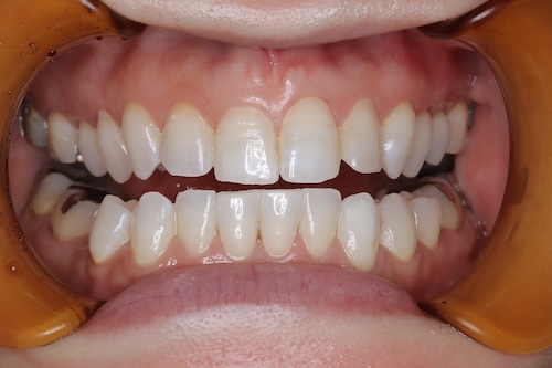
シェードの変化
初診シェード 右上2 C3 右下3 C3
目標B1-BL4
3回目オフィスホワイトニングで右上2 B1 右下3 B1
ホームジェル10%
毎日1-2時間行っていた
4回目オフィスホワイトニングで右上2 BL3 右下3 BL3
ホームジェル16%
毎日1-2時間行っていた
6回目オフィスホワイトニングで右上2 BL3 右下3 BL3
ホームジェル16%
ここからメンテナンスへ移行し1ヵ月ごとにオフィスホワイトニングとホームホワイトニング週1-2回
11回目オフィスホワイトニングで右上2 BL3 右下3 BL3
ホームジェル16%
ホームホワイトニング週1-2回
ホワイトニングテープ購入
13回目オフィスホワイトニング最終9回目 右上2 BL3 右下3 BL3
ホームジェル16%
ホームホワイトニング週1-2回
ホワイトニングテープ未使用
コメント
初診で上前歯中心に色が気になっていた。
セラミックのような均一な白さにはならないが縞模様は目立たなくできるとお話した。
年齢も30後半だったので目標を高く上げ過ぎず話し合いB1-BL4で設定。
ホームホワイトニングは真面目に取り組みジェルも来店前にはなくなってしまったとお話をしてくれていた。
その代わりホームホワイトニングスタート時は知覚過敏が出たためNBトゥースペーストパックを行っていた。
早い段階でシェードが上がり4回目にはすでに目標を超えBL3になり満足されていた。
ここから次の段階でホワイトニングメンテナンスに移行しホームジェルの回数も減らしたことで、知覚過敏の症状は落ち着く。
10回目辺りからホームジェル終了後のメンテナンスのお話もしていき、ホワイトニングテープを選択。
現時点で未使用なので引き続きクリーニングの回数もあるので使用状況確認していく。
〒101-0052 東京都千代田区神田小川町3丁目8番地 中北ビル2階
歯科医師 藏前尚子



