結婚式で自信のある笑顔へ 黄ばみを克服したブライダルホワイトニング症例

結婚式に向けてホワイトニングを決意

身内の方がホワイトニングをしており、その効果を間近で見ていたことがきっかけでご来院されました。
結婚式を控え、自分も白い歯で当日を迎えたいという思いと、元々歯の色にコンプレックスがあり口を開けて笑えなかったことを克服したいという強いお気持ちがありました。
ホワイトニングサロンBeauteでは、その思いを大切にしながら二人三脚で施術を進めていきました。

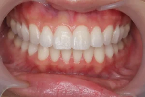
初診時の状態と施術内容

初診時のシェードは右上1がD3、左下3がC4で、目標はブリーチシェードBL04。
黄ばみが強く、ホームホワイトニングをしっかり行う必要がある歯質でした。
施術内容は、オフィスホワイトニング6回、クリーニング1回、マウスピーストレー上下と付属品、ホームホワイトニング用ジェル5日分を18本、ホワイトニング用サプリメントと歯磨き剤を含み、料金は税込169,400円です。
忙しい中でも効率よく白くしていくため、LEDライトを併用したホームケアをご提案しました。

ホワイトニング経過とシェード変化

初回のオフィスホワイトニング後、右上1はD2、左下3はA3.5までトーンアップし、色上がりに満足されていました。
2回目では右上1がA1、左下3がA3となり、毎日1〜2時間のホームホワイトニングを継続。
3回目には右上1がB1、左下3がC2まで白くなり、ライト併用で色の変化を実感されていました。
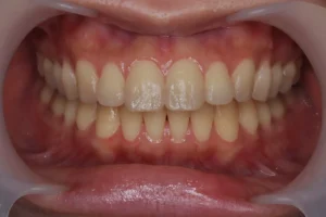
5回目には右上1がBL03、左下3がA1となり、周囲からも白くなったと褒められるように。
6回目以降は右上1がBL02、左下3がBL04〜BL03と安定し、目標としていたブリーチシェードに到達しました。

挙式当日とお客様のご感想

黄ばみが濃い歯質でしたが、日々のホームケアを前向きに頑張られ、ライトを活用することで忙しい中でも効率的に白さを高めることができました。
挙式当日は、自信を持って笑うことができ、ドレスにも負けない美しさで本当に嬉しかったとご報告をいただきました。
ホワイトニングサロンBeauteでホワイトニングして心から良かったと感動され、コース最終日には自信に満ちた満面の笑みがとても印象的でした。
今後は3ヶ月ごとのクリーニングとホワイトニングで美しさを維持していく予定で、メンテナンスにも前向きに取り組まれています。