結婚式を控えた20代女性がご来院
4ヶ月後にご自身の結婚式を控え、白い歯でドレスをきれいに着こなしたいという思いからホワイトニングサロンBeauteへご来院されました。
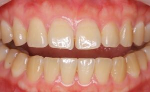
初診時のシェードは右上1がC3、右下3がA4で、目標はブリーチシェード030。
挙式当日を最高の笑顔で迎えられるよう、しっかりと期間をかけてホワイトニングを進めていくことになりました。
初診時の状態と施術内容
初診時には、1年以上クリーニングをしておらず、歯磨き時に出血があるとのお話もありました。
そのためホワイトニングと並行して、お口の中の環境改善も重視した施術計画を立てました。
施術内容は、オフィスホワイトニング6回、クリーニング1回、マウスピーストレー上下と付属品、ホームホワイトニング用ジェル5日分を18本、ホワイトニング用サプリメントと歯磨き剤を含みます。
段階的に歯の色を上げながら、歯茎や歯の健康も整えていく内容です。
ホワイトニングの経過とシェード変化
2回目の来院時にクリーニングを実施し、歯の表面や歯周ポケットに付着していた汚れをしっかりと除去しました。
4回目のオフィスホワイトニングでは、右上1がA1、右下3がD2までトーンアップし、ほぼ毎日1時間半のホームホワイトニングにも積極的に取り組まれていました。
6回目のオフィスホワイトニング終了時には、右上1が030、右下3が040となり、目標に近い白さまで到達しました。
クリーニングとセルフケアによる効果
2回目のクリーニングでは、たまっていたバイオフィルムを徹底的に除去し、歯の表面をツルツルに磨き上げました。
その結果、色素や細菌が付着しにくい状態となり、ホワイトニング効果をより高めることができました。
さらに歯と歯茎に優しく、汚れ落ちの良い歯ブラシを使用していただいたことで、お口の中の良好な環境を維持でき、ホワイトニング効果もしっかりと実感していただけました。
6回目の施術時には「ここまで白くなって嬉しい」と喜ばれており、結婚式に向けて自信の持てる仕上がりとなりました。






