結婚式まで3ヶ月で理想の白さへ 20代女性のブライダルホワイトニング症例紹介

結婚式を控えた20代女性がご来院


3ヶ月後に結婚式を控え、ドレス姿をより美しく見せたいとのことでブライダルホワイトニングを目的にホワイトニングサロンBeauteへご来院されました。
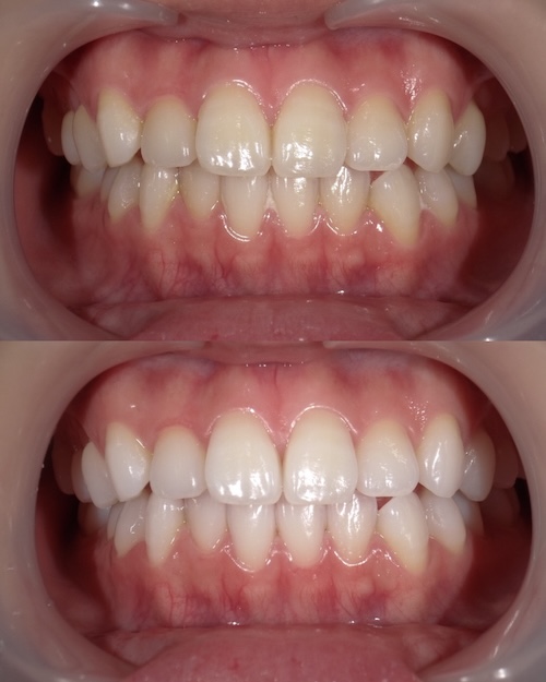
初診時の歯の色は右上1がB1、右下3がD2で、目標は透明感のあるブリーチシェードBL2。
大切な日に向けて計画的にホワイトニングを進めていくことになりました。

初診時のシェードと施術内容

初診時のシェードと施術内容
初診時にはカウンセリングとシェードチェックを行い、歯質や生活習慣を確認した上で施術プランを決定しました。
施術内容はオフィスホワイトニング2回、クリーニング1回、マウスピース作製、洗浄剤、ホームホワイトニング用ジェル5日分を6本、ホワイトニング用サプリメントと歯磨き剤を含み、料金は税込78,100円です。
短期間でもしっかりと結果を出し、色戻りを抑えることを重視しました。

ホワイトニング経過とシェード変化

初回の施術では1〜3段階ずつ色のトーンアップが見られ、その後クリーニングを行ってからホームホワイトニングをスタート。
濃度の異なるジェルを2本ずつ使用し、歯の状態を見ながら進めていきました。
最終的には右上1がBL2、右下3がBL3まで色が上がり、ブリーチシェードに到達。
1ヶ月間しっかりとホームホワイトニングに取り組んでいただき、口腔内の状態も良好に保たれていたため、ムラのない自然な白さに仕上がりました。

お客様のご感想と仕上がり

最初の1〜2週間は大きな変化を感じにくかったものの、2週間を過ぎた頃から白さを実感でき、前向きに続けられたとのことでした。
ブリーチシェードまで色が上がったことで、色戻りの少ない領域に入れた点にもとても満足されていました。
ホワイトニングサロンBeaute名古屋店では、結婚式や大切なイベントに合わせた無理のないホワイトニングをご提案しています。