ご来院のきっかけとお悩み
20代女性のお客様が、卒業式と入社式という大切なイベントを控え、歯を白くしたいとの思いからホワイトニングサロンBeauteへご来院されました。特に犬歯の黄ばみが強く、笑ったときに目立つことがお悩みでした。
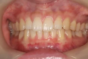
初診時のシェードは右上1がA2、右上3がA4で、目標シェードは透明感のあるBL3を設定しました。
施術内容と費用
今回の施術内容は、1ヶ月行いました。オフィスホワイトニング2回、クリーニング1回、自宅用マウスピース上下と付属品、ホームホワイトニングジェル5日分を6本、歯のケア用品2点を含み、費用は78,100円(税込)です。
イベントまでの期間を考慮し、オフィスとホームを組み合わせて効率よく白さを引き上げていく方法で進めました。
通院ごとの変化と経過
1回目のご来店ではクリーニングを行い、ホームホワイトニング用のトレーの型取りを実施しました。2回目はオフィスホワイトニング1回目とトレーのお渡しを行い、右上1はA2からA1、右上3はA4からA3.5へ変化が見られました。3回目のホワイトニング2回目では、右上1がB1からBL4、右上3がA3からC2までトーンアップし、ホームホワイトニングは週3〜4回、就寝中に使用され知覚過敏もありませんでした。
ジェル量がやや少なかったため、適量をお伝えし、犬歯との差を埋めるため継続をご提案しました。4回目には右上1がBL4からBL3、右下3がA2からB2へと改善し、前歯の白さにはご満足いただける状態になっています。
犬歯の黄ばみへの対応と今後のケア
犬歯は黄ばみが出やすく、他の歯と色を合わせるためにはホームホワイトニングの継続と頻度が重要です。今回は知覚過敏が出なかったため、就寝中の使用で一気に白さを引き上げることができましたが、長期的に必要なケースでは日中2時間ほどの使用が理想的です。黄ばみが残ったまま終了すると色戻りが起こりやすいため、ジェルを使い切るまで継続し、最終的にシェードを確認したうえでメンテナンスへ移行する予定です。
ホワイトニングサロンBeaute名古屋店では、イベントに合わせたスケジュール提案と丁寧なフォローを行っています。






