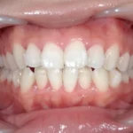
ご来院のきっかけと初診時の状態
ホワイトニングサロンBeauteへご来院されたお客様は、右上1番と2番が治療により神経を取っており、時間の経過とともに変色してきたことを気にされていました。
それに加えて、周囲の歯の色味も濃く感じるようになり、全体的な印象を改善したいとのことでご相談くださいました。初診時のシェードは左上1番がA3、右下3番がA3.5と、全体的に濃い色味が確認できたため、回数をかけてじっくり白さを引き上げていく進め方となりました。
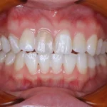
施術内容と進め方
施術内容は、オフィスホワイトニング10回、スタンダードケアのクリーニング4回、自宅用マウスピース上下と付属品、歯のケア用アイテム2点を含めた内容です。元々の歯の色が濃いことから、短期間ではなく継続的に通っていただくことで、無理なく白さを目指す方針でスタートしました。
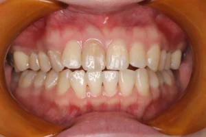
通院ごとの変化と経過
2回目のご来院時にクリーニングを行い、ホームホワイトニングをお渡ししました。1回の施術では大きな変化は分かりにくいため、正しい使い方をしっかりお伝えし、毎日のホームケアを重視しました。3回目には、ホームホワイトニングを欠かさず毎日行っているとのことで、ご本人としては白くなってきている実感がある一方、神経のない歯の色が目に入り、見た目の変化を感じにくい部分もありました。
6回目には口腔内のできものがあり一時的に心配な状況もありましたが、当日の状態を確認したうえで問題なく施術を行っています。8回目ではホームホワイトニングは順調だったものの、色上がりがやや停滞している印象があり、引き続き毎日のケアを継続していただくことをお伝えしました。
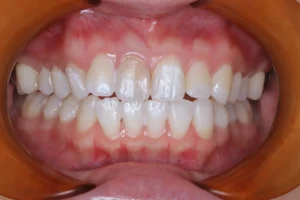
今後の方針とトータルケア
現在もホワイトニングは継続中で、神経を取っている歯については、ホワイトニングと並行して主治医の先生に相談しながら治療を進めていくようご案内しています。歯全体が白く整った状態で、セラミックなどの補綴治療が入ることで、より自然で美しい口元を目指すことができます。
ホワイトニングサロンBeaute名古屋店では、歯の状態やお悩みに合わせた長期的なサポートを大切にしています。






