オフィスホワイトニングとは
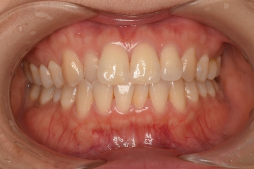
歯の表面にホワイトニング薬剤を塗り、LEDライトを照射し短時間で黄ばみを白くします。
1回でも白さを実感できますが、数を重ねるにつれさらに白くしていくことができます。
ボーテ式オフィスホワイトニングの特徴

1.歯を強くしながら白くできる
「ホワイトニングはしみる」と聞いたことがありませんか?
どのホワイトニングシステムも施術後に知覚過敏症状(しみる)がでることがあります。
一時的なものなのですぐに収まり問題はありませんが、しみるのはやはり避けたいですよね。
ボーテ式ホワイトニングには、しみを予防する成分(硝酸カリウム)とアパタイトが配合されています。
硝酸カリウムが施術中・後のしみを予防し、アパタイトにより歯のエナメル質が再石灰化されハイドロキシアパタイトとなり、虫歯予防になります。
歯を強くしながら白くすることができる、画期的なホワイトニングです。
2.研修を受けたプロフェッショナルが施術
ホワイトニングをするなら、技術力が高いプロにまかせて快適に受けたいですよね。
ボーテ式ホワイトニングはセラピスト全員が国家資格を持つ歯科医師・歯科衛生士です。
かつ、60時間以上の研修を受け合格した者だけが施術を行います。
タオルの掛け方からお声がけに至るまで、高い技術とおもてなしにこだわるのがボーテ式ホワイトニング。
ボーテ式ホワイトニング導入医院は定期的に研修・試験があり、高い技術を保つように技術研鑽に励んでいます。


3.リーズナブルな料金
ボーテ式ホワイトニングは結果にこだわり高品質なサービスをご提供しつつ、従来の相場に比べ、通いやすいリーズナブルな料金設定です。
地方でも都会と同じ技術・接遇のホワイトニングをお約束します。
4.飲食制限なし
「ホワイトニング後はコーヒー・紅茶など色のつく飲食物や喫煙はNG」と聞いたことがありませんか?
ボーテ式ホワイトニングでは、飲食制限がありません!
施術後に歯の表面をアパタイト配合ペーストでコーティングを行います。
そのため、着色しにくくなり、施術直後でもコーヒー・紅茶などを自由にお飲みいただけます。

セルフホワイトニングとの違い
ホワイトニング剤には過酸化水素・過酸化尿素という医薬品の漂白成分が含まれており、法律上取り扱えるのが歯科医院(医療機関)のみです。
セルフホワイトニング店は医薬品を使用できないので、歯の汚れを落とす効果のみに留まります。
セルフホワイトニング
若干歯が明るくなる程度。元々の歯の色より白くできない
歯科医院のホワイトニング
歯の内部の黄ばみも白くできる。元々の歯の色より白くできる。
施術の流れ
1.カウンセリング

プロが気になる歯の黄ばみや食習慣をお聞きします。
2.シェードチェック

シェードガイドを使い、現在の歯の色を確認します。
3.歯の表面を掃除

歯の表面の汚れを落とし、薬液を浸透しやすくします。
4.リップセラム塗布

唇を保護するためオーガニックのリップセラム(リップクリーム)を塗ります。
5.ホワイトニング剤塗布

歯の表面にホワイトニング薬剤を塗布します。
6.LEDライト照射

LEDライトを約8分照射します。
2クール目以降は薬液をふきとり、再度塗布して照射します。
7.コーティング

アパタイト配合ペーストで歯の表面をコーティングします。
8.シェードチェック

うがいの後、施術後の歯の色を確認します。
 
               
                       
                