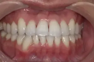
ホワイトニング症例

ホワイトニング症例

主訴
矯正治療を終えた方。
職場の同僚のホワイトニングをきっかけに興味を持ち、インスタで見つけたボーテ式ホワイトニングに来院。

施術内容
パーフェクト美白プラン(3ヶ月/税込154,000円)
・オフィスホワイトニング6回
・クリーニング1回
・マウスピース上下+ホームジェル3ヶ月分
・NBベリーホワイト/トゥースペースト


シェード変化
・右下3番:A4 → BL4
・右上1番:A3 → BL1

コメント
初回から白さを実感。ホームケアも毎日継続し、理想的な仕上がりに。忙しいお仕事の中でも丁寧にケアを続け、白くなっていく過程を楽しんで取り組まれていました。

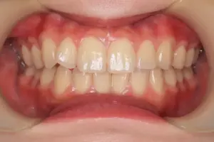
主訴
20代後半男性。
友人のInstagramでボーテのホワイトニングを知り、BL3程度の白さを目指して来院。

施術内容
パーフェクト美白プラン(3ヶ月/税込154,000円)
・オフィスホワイトニング6回
・クリーニング1回
・マウスピース上下・ホームジェル3ヶ月分(濃度調整あり)
・NBベリーホワイト/NBトゥースペースト

シェード変化
・右下3番:B4 → BL3
・右上1番:B3 → BL2
※濃度10%から始め、最終的に22%を使用。ホームとオフィスの併用で目標シェードに到達。

コメント
口呼吸傾向でステインが多く、定期的なクリーニングも併用。
知覚過敏が出た時期もありましたが、トゥースペーストの併用で改善。
現在も週1回のホームケアと、約2ヶ月に1回のオフィス施術で白さを維持されています。

主訴
20代女性。「歯を真っ白にしたい」という明確な目標を持って来院。全体的な黄ばみが気になる状態。

施術内容
パーフェクト美白プラン(3ヶ月/税込154,000円)
・オフィスホワイトニング6回
・クリーニング1回
・マウスピース上下・ホームジェル3ヶ月分(濃度段階調整あり)
・NBベリーホワイト/NBトゥースペースト

シェード変化
・段階的に濃度を上げながら施術を継続
・オフィスは2〜3週おき、自宅では就寝前にホームケアを実施
・最終的に自然な透明感のある白さを実現し、高い満足度

コメント
「本当に白くなるのか不安」と話されていたが、変化を実感しながら前向きに継続。
生活リズムに合わせた提案で無理なく続けられ、3ヶ月で理想的な仕上がりに。
現在は定期メンテナンスを継続中。
「笑顔に自信が持てるようになった」と喜びの声もいただいた。

主訴
20代男性。美意識が高く、できるだけ白くしたいとの希望で来院。

初診時:右上1番C2/右下3番B3 → 目標:BL3設定。

施術内容
プラチナ美白プラン(243,100円・税込)
・オフィスホワイトニング9回
・クリーニング4回
・マウスピース上下
・ホームジェル90日分(濃度段階調整)
・NBベリーホワイト/NBトゥースペースト

シェード変化
・右上1番:C2 → BL3
・右下3番:B3 → BL4
※段階的に10%→16%→22%へ濃度を上げ、ホームとオフィスを組み合わせて理想の白さに到達。

コメント
自己管理が非常に優れており、コーヒー常飲にも関わらず色戻りなし。
2〜3週ごとのオフィス施術+ホームケアの併用が効果的だった。
現在も22%のホームケアと3ヶ月ごとのクリーニングで美しさを維持中。

主訴
20代女性。周囲の影響でホワイトニングに関心を持ち、来院。

初診時:右上1番B3/右下3番A4 → 目標:020〜030設定。

施術内容
パーフェクト美白プラン(3ヶ月/169,400円・税込)
・オフィスホワイトニング6回
・クリーニング1回
・マウスピース上下・ホームジェル90日分
・NBベリーホワイト/NBトゥースペースト

シェード変化
・右上1番:B3 → 030
・右下3番:A4 → B1
※ホームケアにばらつきがあったが、継続的なオフィス施術で上顎は目標に到達。

コメント
初回は歯周病傾向やステインが強く、基本的な口腔ケアから指導を実施。
生活スタイルに合わせ、就寝時のホームケアを提案し無理なく継続。
現在は下顎のさらなる改善に向け、定期的なクリーニングとオフィス施術を継続中。

主訴
30代女性。年齢による黄ばみと、コーヒーの常飲による着色が気になり来院。
全体的に黄ばみが目立つ状態。

施術内容
パーフェクト美白プラン(3ヶ月/169,400円・税込)
・オフィスホワイトニング6回
・クリーニング1回
・マウスピース上下・ホームジェル90日分
・NBベリーホワイト/NBトゥースペースト

シェード変化
・段階的なホワイトニングとホームケアを併用し、自然な白さに改善
・コーヒーの摂取を続けながらも、目標シェードに到達し、色調を安定して維持

コメント
年齢的な黄ばみと着色に対し、生活習慣に合わせた治療計画と継続的なケアが効果的だった。
今後も定期的なクリーニングとホームケアを継続することで、白さの維持が期待できる。

治療内容:ホワイトニング:薬剤とLEDライトで、歯をしみにくく白くします。
費用(税込):ボーテ式ホワイトニング(60分)15,400円 /ホームホワイトニング(10日分)31,900円
リスク・副作用:一時的にしみることがありますが、しみ予防成分により軽減されています。

効果的に歯を白くする方法は?

本当に歯を
白くしたい方へ

短期間で効果的に歯を白くするには、「オフィスホワイトニング」と「ホームホワイトニング」を両方行うデュアルホワイトニングがベストです。
当院で目標のブリーチシェードに到達された方の9割以上が3ヶ月以上のデュアルホワイトニングを選択されています。
単発で2、3回オフィスホワイトニングを行うよりも、期間を定め集中的にオフィスやホームを行なった方が、より効率的に真っ白にできます。お気軽にご相談ください。

歯を白くするホワイトニング
デュアルホワイトニング
01

オフィス
ホワイトニング

歯科医院で高濃度の薬剤を塗布し、約8分×2回照射を行うホワイトニングです。

02

ホームホワイトニング

自宅でオーダーメイドのマウスピースを使ってお好きな時間にホワイトニングをしていく方法です。

03

デュアル
ホワイトニング

「オフィスホワイトニング」と「ホームホワイトニング」を両方行う方法です。色戻りなく短期間で真っ白な白さへ導きます。

効果的に歯を白くする方法は?

本当に歯を
白くしたい方へ

短期間で効果的に歯を白くするには、「オフィスホワイトニング」と「ホームホワイトニング」を両方行うデュアルホワイトニングがベストです。
当院で目標のブリーチシェードに到達された方の9割以上が3ヶ月以上のデュアルホワイトニングを選択されています。
単発で2、3回オフィスホワイトニングを行うよりも、期間を定め集中的にオフィスやホームを行なった方が、より効率的に真っ白にできます。お気軽にご相談ください。

歯を白くするホワイトニング
01

オフィスホワイトニング

歯科医院で高濃度の薬剤を塗布し、約8分×2回照射を行うホワイトニングです。

02

ホームホワイトニング

自宅でオーダーメイドのマウスピースを使ってお好きな時間にホワイトニングをしていく方法です。

デュアルホワイトニング
03

デュアルホワイトニング

「オフィスホワイトニング」と「ホームホワイトニング」を両方行う方法です。色戻りなく短期間で真っ白な白さへ導きます。

大阪・心斎橋で
ホワイトニングならボーテ

心斎橋駅徒歩2分・完全個室・飲食制限なし
ホワイトニングのプロ集団ボーテにお任せください。

シェードチェック
シェードチェック

大阪・心斎橋で
ホワイトニングなら
ボーテにお任せ

心斎橋駅徒歩2分・完全個室・飲食制限なし
ホワイトニングのプロ集団ボーテにお任せください。