博多のホワイトニング症例

ホワイトニングサロンBeaute博多デンタルクリニック

ホワイトニング症例

博多で医療ホワイトニングをお考えの方へ、
ホワイトニングサロンBeauteでの実際の症例と施術経過をご覧いただけます。

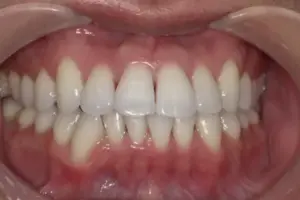
主訴
矯正治療後、歯並びが整ったことで口元への意識が高まり、「歯の色も整えたい」と感じご来院されました。
周囲でホワイトニングを受けている方が増えていたこともあり、SNSでBeauteの症例をご覧になり、ご相談いただきました。
施術内容
パーフェクト美白プラン(3ヶ月/税込154,000円)
・オフィスホワイトニング 6回
・プロフェッショナルクリーニング 1回
・オーダーメイドマウスピース(上下)+ホームホワイトニングジェル(3ヶ月分)
・NBベリーホワイト/トゥースペースト
シェード変化
・右下3番:A4 → BL4
・右上1番:A3 → BL1
コメント
施術開始後、早い段階で白さの変化を実感され、その後はホームホワイトニングを習慣として取り入れながら継続されました。
来院頻度とご自宅でのケアをバランスよく組み合わせたことで、回数を重ねるごとに色ムラが整い、全体のトーンが安定していきました。
最終的にはブリーチシェードに近い明るさまで到達し、仕上がりにもご満足いただける結果となりました。

主訴
20代後半の男性。ご友人がBeauteのInstagramで紹介していたホワイトニングを見たことをきっかけにご来院されました。
不自然に白くするのではなく、清潔感のある印象を重視し、BL3前後の自然な白さを目標にホワイトニングをご希望されました。
施術内容
パーフェクト美白プラン(3ヶ月/税込154,000円)
・オフィスホワイトニング 6回
・プロフェッショナルクリーニング 1回
・オーダーメイドマウスピース(上下)+ホームホワイトニングジェル(3ヶ月分/濃度調整あり)
・NBベリーホワイト/NBトゥースペースト
シェード変化
・右下3番:B4 → BL3
・右上1番:B3 → BL2
コメント
自然な仕上がりを目指すため、低濃度(10%)からスタートし、歯の反応を確認しながら段階的に濃度を調整しました。最終的には22%まで引き上げ、オフィスホワイトニングとホームケアを組み合わせることで、目標としていた白さに到達しています。
口呼吸の影響により着色が付きやすい傾向があったため、施術と並行してクリーニングを取り入れ、表面環境を整えながら進めました。途中、一時的に知覚過敏が出る場面もありましたが、ケア用品の併用により落ち着き、無理なく継続されています。
現在は週1回のホームホワイトニングと、約2ヶ月ごとのオフィス施術を継続し、白さを安定して維持されています。

主訴
20代女性。歯の黄ばみが気になり、「できるだけ明るい白さまでトーンアップしたい」というご希望で来院されました。
仕上がりの白さに対する明確なイメージをお持ちで、ブリーチシェードに近い状態を目標にホワイトニングを開始しました。
施術内容
パーフェクト美白プラン(3ヶ月/税込154,000円)
・オフィスホワイトニング 6回
・プロフェッショナルクリーニング 1回
・オーダーメイドマウスピース(上下)+ホームホワイトニングジェル(3ヶ月分/段階的な濃度調整あり)
・NBベリーホワイト/NBトゥースペースト
施術経過・シェード変化
歯の状態に合わせてホームホワイトニングの濃度を段階的に調整しながら、オフィスホワイトニングを2〜3週間ごとに実施。
ご自宅では就寝前のケアを継続することで、回数を重ねるごとに色ムラが整い、全体のトーンが安定していきました。
最終的には、透明感のある明るい白さへと変化し、目標としていたレベルに近づく結果となりました。
コメント
開始当初は「どこまで白くなるのか」という不安も見られましたが、施術を重ねるごとに変化を実感され、前向きに取り組まれていました。
生活リズムに合わせた無理のない進め方により、3ヶ月間継続できたことが、仕上がりの質につながっています。
現在は定期的なメンテナンスを取り入れながら白さを維持されており、「笑顔に自信が持てるようになった」とのお声もいただいています。

主訴
20代男性。清潔感や第一印象を重視し、「できる限り白さを引き上げたい」というご希望で来院されました。
初診時の歯の色は右上1番C2、右下3番B3で、BL3前後の白さを目標にホワイトニングを開始しました。
施術内容
プラチナ美白プラン(243,100円・税込)
・オフィスホワイトニング 9回
・プロフェッショナルクリーニング 4回
・オーダーメイドマウスピース(上下)
・ホームホワイトニングジェル(90日分/段階的濃度調整)
・NBベリーホワイト/NBトゥースペースト
シェード変化
・右上1番:C2 → BL3
・右下3番:B3 → BL4
コメント
高い目標に対して、歯の反応を見ながら段階的に濃度を調整し、10%から16%、最終的に22%へと引き上げながら進めました。
オフィスホワイトニングとホームケアを組み合わせることで、無理なくトーンを上げ、目標としていた白さに到達しています。
コーヒーを日常的に摂取される生活習慣がありましたが、適切なケアを継続されたことで、色戻りはほとんど見られず、安定した状態を維持できています。
現在もホームホワイトニングと定期的なクリーニングを継続し、白さを長期的に保たれています。

主訴
20代女性。身近な方の影響でホワイトニングに関心を持ち、歯の色味を整えたいという目的で来院されました。
初診時は右上1番B3、右下3番A4と、全体的にトーンのばらつきが見られ、透明感のある明るい白さ(020〜030)を目標に施術を開始しました。
施術内容
パーフェクト美白プラン(3ヶ月/169,400円・税込)
・オフィスホワイトニング 6回
・プロフェッショナルクリーニング 1回
・オーダーメイドマウスピース(上下)
・ホームホワイトニングジェル(90日分)
・NBベリーホワイト/NBトゥースペースト
シェード変化
・右上1番:B3 → 030
・右下3番:A4 → B1
コメント
初診時には歯周環境の乱れやステインの付着が見られたため、ホワイトニングと並行して口腔内の状態を整えるところからスタートしました。
ブラッシング指導やクリーニングを取り入れながら、土台を整えたうえで施術を進めています。
ホームケアには一部ばらつきが見られましたが、オフィスホワイトニングを定期的に行うことで上顎は目標の白さに到達しました。
現在は下顎のさらなるトーンアップを目指し、クリーニングとオフィス施術を継続しながら、全体のバランスを整えている段階です。

主訴
30代女性。歯のトーンが全体的に落ちてきたことに加え、日常的なコーヒー習慣による着色が気になり来院されました。
歯の明るさを取り戻しつつ、生活スタイルを大きく変えずにホワイトニングを行いたいというご希望でした。
施術内容
パーフェクト美白プラン(3ヶ月/169,400円・税込)
・オフィスホワイトニング 6回
・プロフェッショナルクリーニング 1回
・オーダーメイドマウスピース(上下)
・ホームホワイトニングジェル 90日分
・NBベリーホワイト/NBトゥースペースト
シェード変化
・段階的にホワイトニングを実施
・ホームケアを併用しながら全体のトーンを改善
・コーヒーを継続しながらも、自然で明るい白さへ変化
・施術後も色調は安定し、白さを維持できている状態
コメント
生活習慣を大きく制限せず、継続できる方法を優先して施術計画を立てました。
コーヒーを控えることなくホワイトニングを進めたことで、ストレスなく取り組めたことが継続につながっています。
オフィスとホームケアを組み合わせることで、徐々にトーンを引き上げながら安定した仕上がりへと導きました。
現在も定期的なクリーニングとホームケアを継続し、白さを維持されています。

治療内容:
医療用ホワイトニング剤を歯に塗布し、専用のLEDライトを照射することで、歯の内部に働きかけながら白さを引き出す施術です。
しみに配慮した薬剤設計と施術工程により、負担を抑えた医療ホワイトニングを行っています。
費用(税込)
・ボーテ式医療ホワイトニング(約60分)15,400円
・ホームホワイトニング(約10日分)33,000円
リスク・副作用
施術後、一時的に知覚過敏(しみる感覚)が生じる場合があります。
ホワイトニングサロンBeaute博多デンタルクリニックでは、しみに配慮した成分の使用や施術後のケアを行い、できる限り負担の軽減に努めています。

理想の白さを目指すために

歯を本気で
白くしたい方へ

しっかりと歯の白さを高めたい場合、院内で行うオフィスホワイトニングと、ご自宅でのケアを組み合わせて進めていく方法が一般的とされています。

それぞれの特長を活かして取り組むことで、白さを引き出しながら、より安定した仕上がりにつながります。

単発で施術を繰り返すよりも、期間や回数を計画的に進めることで、自然で美しい白さを実感しやすくなります。

歯の状態や目指す白さによって適した進め方は異なりますので、お気軽にご相談ください。

オフィスホワイトニング
ホームホワイトニング
デュアルホワイトニング
01

オフィス
ホワイトニング

歯科医院で行う医療ホワイトニングです。
歯科専用の薬剤を歯の表面に塗布し、専用の照射機器を使用して、歯の内部に働きかけながら白さを引き出します。

02

ホームホワイトニング

ご自宅で取り組んでいただくホワイトニング方法です。
専用のマウスピースを使用し、生活スタイルに合わせて無理なく継続していただけます。
時間をかけて白さを整えたい方や、安定した状態を保ちたい方に向いている方法です。

03

デュアル
ホワイトニング

院内での施術とご自宅でのケアを組み合わせて進める方法です。
それぞれの特長を活かすことで、白さを引き出しながら、安定した状態を保ちやすくなります。
すぐにより高い白さを目指したい方や、仕上がりと持続性の両方を重視したい方に選ばれています。

理想の白さを目指すために

歯を本気で
白くしたい方へ

しっかりと歯の白さを高めたい場合、院内で行うオフィスホワイトニングと、ご自宅でのケアを組み合わせて進めていく方法が一般的とされています。

それぞれの特長を活かして取り組むことで、白さを引き出しながら、より安定した仕上がりにつながります。

単発で施術を繰り返すよりも、期間や回数を計画的に進めることで、自然で美しい白さを実感しやすくなります。

歯の状態や目指す白さによって適した進め方は異なりますので、お気軽にご相談ください。

歯を白くするホワイトニング
01

オフィスホワイトニング

歯科医院で行う医療ホワイトニングです。
歯科専用の薬剤を歯の表面に塗布し、専用の照射機器を使用して、歯の内部に働きかけながら白さを引き出します。

ホームホワイトニング
02

ホームホワイトニング

ご自宅で取り組んでいただくホワイトニング方法です。
専用のマウスピースを使用し、生活スタイルに合わせて無理なく継続していただけます。
時間をかけて白さを整えたい方や、安定した状態を保ちたい方に向いている方法です。

デュアルホワイトニング
03

デュアルホワイトニング

院内での施術とご自宅でのケアを組み合わせて進める方法です。
それぞれの特長を活かすことで、白さを引き出しながら、安定した状態を保ちやすくなります。
すぐにより高い白さを目指したい方や、仕上がりと持続性の両方を重視したい方に選ばれています。

博多で
本気で歯を白くしたい方へ

博多駅徒歩7分
医療ホワイトニング専門のBeauteにおまかせください。

歯を白くしたい方へ
歯を白くしたい方へ

博多で
本気で歯を白くしたい方へ

博多駅徒歩7分
医療ホワイトニング専門のBeauteにおまかせください。