


通院頻度はお口の状態により異なりますが、目安としては2〜3ヶ月に1回のメンテナンスを推奨しています。汚れや歯石が蓄積する前にケアを行うことで、健康な状態を保ちながら美しい口元を維持しやすくなります。無理なく続けられるよう、お一人おひとりに合わせてご案内いたします。
保険診療のクリーニングは、虫歯や歯周病の管理を目的とした基本的な処置が中心です。
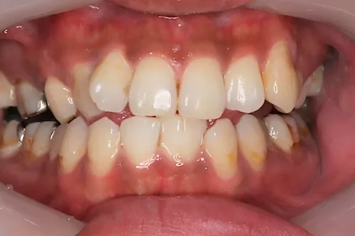
一方、ボーテの自費クリーニングは、見た目の美しさ、心地よさ、予防性まで考えたトータルケアをご提供しています。エアフローによる着色除去、歯面の仕上げ、歯ぐきへのアプローチ、口臭ケア、トリートメントまで丁寧に行い、すっきり感と清潔感のある口元へ導きます。
一方、ボーテの自費クリーニングは、見た目の美しさ、心地よさ、予防性まで考えたトータルケアをご提供しています。エアフローによる着色除去、歯面の仕上げ、歯ぐきへのアプローチ、口臭ケア、トリートメントまで丁寧に行い、すっきり感と清潔感のある口元へ導きます。
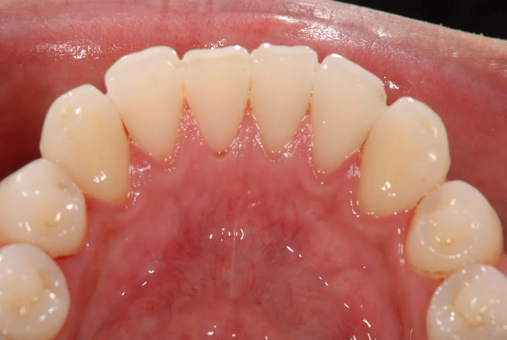
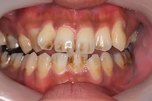
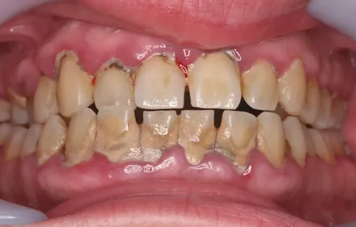
クリーニングは、歯の表面に付着した歯石や歯垢、ヤニ・茶渋などの汚れを除去し、本来の歯の色味へ整えるケアです。
一方ホワイトニングは、歯の内部にアプローチしてトーン自体を引き上げる施術のため、クリーニングでは届かないレベルの明るさを目指すことができます。より白さや透明感を求める方には、ホワイトニングが適しています。
一方ホワイトニングは、歯の内部にアプローチしてトーン自体を引き上げる施術のため、クリーニングでは届かないレベルの明るさを目指すことができます。より白さや透明感を求める方には、ホワイトニングが適しています。
ボーテのクリーニングでは、歯の表面に付着した汚れや着色(ステイン)を丁寧に取り除くことで、1回でも明るさの変化を実感される方が多くいらっしゃいます。ただし、歯そのものの色味までトーンアップしたい場合は、クリーニングに加えてホワイトニングを組み合わせることで、より理想的な白さを目指すことができます。
体調が安定している場合、妊娠中・授乳中の方でもクリーニングを受けていただけます。ご不安がある際は、事前にかかりつけの産婦人科医へご相談のうえ、ご予約時またはご来院時にお知らせください。体調に配慮しながら無理のない範囲で対応いたします。
















