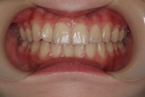
松井 彩実1 神戸元町のホワイトニングサロンBeaute神戸元町デンタルクリニックのホワイトニング症例・ブログです。 Slide簡単ネット予約 ホワイトニングサロンBeaute神戸元町デンタルクリニック 兵庫県神戸市中央区元町通2丁目4番10号サンアポロビル5階 JR神戸線元町駅から徒歩2分 土日祝日営業 Slide治療内容・ホワイトニング:アパタイト配合のホワイトニング剤とLEDライトを使用し、歯がしみるのを防ぎ、歯を強くしながら色素を分解して歯を白くします ・クリーニング:エアフローでステイン除去、超音波スケーリングで歯石を除去、歯面研磨で艶出しをし歯をクリーニングします。 費用ホワイトニング ・ポーデ式ホワイトニング 60分 15,400円(税込) ・ホームホワイトニング 10日分 31,900円(税込) ・クリーニング プロフェッショナルクリーニング 60分 13,200円(税込) リスク/副作用ホワイトニング ・個人差がありますが、施術中や施術後に歯がしみる場合があります ・歯が重なっている箇所は光が届かないため、色ムラができる場合があります クリーニング ・汚れが多い場合は複数回の施術が必要な場合があります ・知覚過敏の方は施術中に一時的にしみる場合があります ・歯を元の色より白くすることはできません 松井 彩実1
神戸元町のホワイトニングサロンBeaute神戸元町デンタルクリニックのホワイトニング症例・ブログです。 Slide簡単ネット予約 ホワイトニングサロンBeaute神戸元町デンタルクリニック 兵庫県神戸市中央区元町通2丁目4番10号サンアポロビル5階 JR神戸線元町駅から徒歩2分 土日祝日営業 Slide治療内容・ホワイトニング:アパタイト配合のホワイトニング剤とLEDライトを使用し、歯がしみるのを防ぎ、歯を強くしながら色素を分解して歯を白くします ・クリーニング:エアフローでステイン除去、超音波スケーリングで歯石を除去、歯面研磨で艶出しをし歯をクリーニングします。 費用ホワイトニング ・ポーデ式ホワイトニング 60分 15,400円(税込) ・ホームホワイトニング 10日分 31,900円(税込) ・クリーニング プロフェッショナルクリーニング 60分 13,200円(税込) リスク/副作用ホワイトニング ・個人差がありますが、施術中や施術後に歯がしみる場合があります ・歯が重なっている箇所は光が届かないため、色ムラができる場合があります クリーニング ・汚れが多い場合は複数回の施術が必要な場合があります ・知覚過敏の方は施術中に一時的にしみる場合があります ・歯を元の色より白くすることはできません